Featured Post

36+ Huawei Y9 Prime Dual Sim Settings

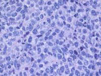
Get Primary Bone Lymphoma UK

Get Primary Bone Lymphoma UK. Primary bone lymphoma is an extremely rare condition in which a lymphoma starts in the bones. Lymphoma usually starts in the lymph nodes and lymph glands.

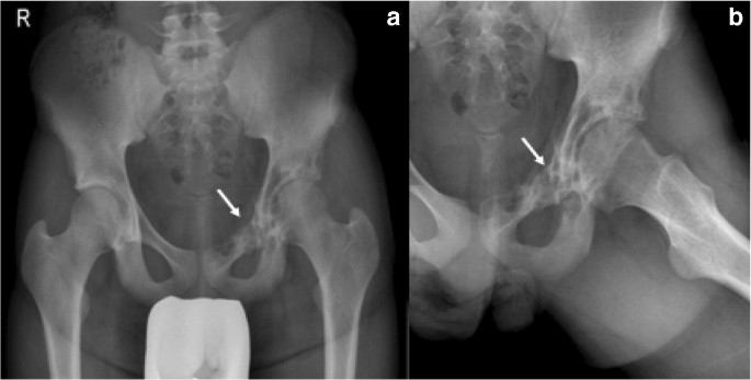
Imaging Features And Floating Ice Sign Of Primary Lymphoma Of The Bone Iranian Journal Of Radiology Full Text
Imaging Features And Floating Ice Sign Of Primary Lymphoma Of The Bone Iranian Journal Of Radiology Full Text from services.kowsarpub.com
Learn more about the treatment of newly diagnosed and. Although pathologically similar to the more common form of the disease that. Primary central nervous system (cns) lymphoma treatment options include radiation, chemotherapy, targeted therapy, and corticosteroids.

Primary bone lymphoma (pbl) is a subtype of lymphoma that exclusively affects skeletal tissue.

Primary bone lymphoma is an extremely rare condition in which a lymphoma starts in the bones. Primary bone lymphoma is an extremely rare condition in which a lymphoma starts in the bones. Radiation therapy can be used as an adjuvant in some cases. Primary lymphoma of bone (plb) is a rare type of cancer that starts in the bone instead of the lymph nodes.

Comments