Featured Post

36+ Huawei Y9 Prime Dual Sim Settings

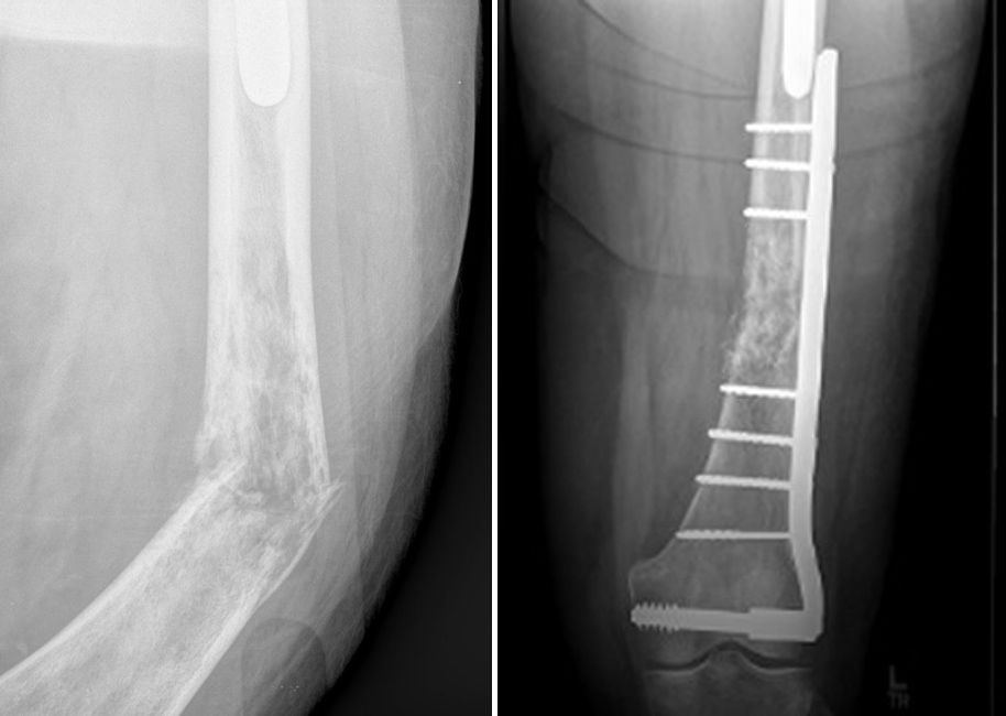
View Bone Lymphoma Xray US

View Bone Lymphoma Xray US.  simple to determine from plain. Patient with lymphoma demonstrating mediastinal widening due to adenopathy, splenic enlargement with displacement of stomach medially.

Non Hodgkin Lymphoma Of Bone Radiology Case Radiopaedia Org
Non Hodgkin Lymphoma Of Bone Radiology Case Radiopaedia Org from prod-images-static.radiopaedia.org
Primary central nervous system (cns) lymphoma treatment options include radiation, chemotherapy, targeted therapy, and corticosteroids. Lymphoma is a blood cancer that starts in the body's immune system cells. Primary bone (skeletal/osseous) lymphoma (pbl) is a less common manifestation of lymphoma than secondary involvement from disseminated lymphoma.

Define lymphoma identify the etiology of lymphoma discuss the bone growth and development.

Treatments include chemotherapy, stem cell therapy, and radiation therapy. Dense materials, such as bone and metal, show up as. Multiple myeloma, leukemia, and lymphoma are all types of bone marrow cancer. Read on to learn more.

Comments