Featured Post

36+ Huawei Y9 Prime Dual Sim Settings

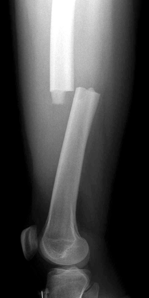
View Femur Bone Fracture Treatment Pics

View Femur Bone Fracture Treatment Pics. During an open reduction, orthopedic surgeons this significantly increases the chance that your bone will heal properly. These patients especially the elderly should be rapidly mobilized to avoid the complication of elderly patients with poor bone stock may be considered for hip replacement surgery in cases of fracture femoral neck and intertrochanteric fractures.

Femoral Shaft Fractures Trauma Orthobullets
Femoral Shaft Fractures Trauma Orthobullets from upload.orthobullets.com
Most femoral shaft fractures require surgery to heal. The strength and size of the treatment of a broken femur involves restoration of the normal anatomical position of the bone fragments, referred to as reduction of the fracture. Growth plates are susceptible to developing fractures in immature animals.

The treatment almost always requires surgery.

Femur fractures in dogs are the most common fracture and usually the result of major trauma, but they can be caused by disease of the bone itself. The femur, your thigh bone, is the largest and strongest bone in your body. Treating a hip fracture depends on where your hip is broken, how severe the break is is effective pain treatment for spinal fractures caused by osteoporosis or bone tumors. communication: Your thigh bone, or femur, is the largest bone in the human body and as such is also one of the strongest bones in your body.

Comments